Photo post from uchicagooptom.
January 14, 2022
Happy Birthday to our incredible Optometry Director, Dr. Pathik Amin! Thank you for being our fearle...
Photo post from uchicagooptom.
December 29, 2021
Dr. Nichols appreciation post: this hero comes and puts out every neuro-related fire that we throw a...
Carousel post from uchicagooptom.
December 16, 2021
SO. PROUD. of this entire department for stepping up and donating to one of our amazing Comer Childr...
Photo post from uchicagooptom.
December 14, 2021
Congratulations to Dr. Shannon and Dr. Harris! Kansas City, here we come!
Photo post from uchicagooptom.
November 24, 2021
Early mornings are worth it with this sunrise ☕️
Photo post from uchicagooptom.
November 12, 2021
🧿 We literally could not have our practice without the help of our technicians. They make our clinic...
Carousel post from uchicagooptom.
November 08, 2021
American Academy of Optometry 2021 ✔️ What a pleasure it was to learn, educate and connect at this...
Photo post from uchicagooptom.
November 01, 2021
To celebrate Día de los Muertos, our clinic made an ofrenda to honor our loved ones who have passed....
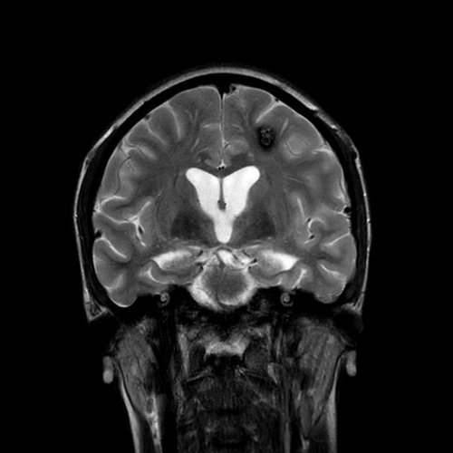
Carousel post from uchicagooptom.
October 11, 2021
Case of the week! 🕶 30 YOF with an ocular hx of ICL implants presented with a unilateral elevated ...
Photo post from uchicagooptom.
October 05, 2021
It’s all about the company. Happy to work evening shift with these goobers
Carousel post from uchicagooptom.
September 30, 2021
Welcome to the Optom Fam, Sahil!
Photo post from uchicagooptom.
September 30, 2021
Please join us tonight for the “Mystery of the unilateral elevated IOP” 🔎 Dr. Pathik Amin, in coll...
Carousel post from uchicagooptom.
September 22, 2021
Case of the week! 👀 20-year-old patient with Alagille syndrome presented with transient blurry vis...
Photo post from uchicagooptom.
September 17, 2021
What did the meibomian gland say when it fell down? “Ow, mei-BUM!”
Carousel post from uchicagooptom.
August 08, 2021
Annual Department Picnic! Thanks for coming everyone! It was hot hot hot 😎 but fun fun fun 🤩