Video post from Geistlich Biomaterials - North America.
November 17, 2023
Looking to offer your patients a palate free solution for soft tissue regeneration? If so, stop scro...
Photo post from smartbonegraft.
November 16, 2023
SOLD OUT! Look for 2024 course schedule to be announced soon! 👏 #dentaleducation #dentalimplants #s...
Photo post from Geistlich Biomaterials - North America.
November 15, 2023
Whether doing an immediate implant or a staged guided bone regeneration procedure, using other bone ...
Photo post from smartbonegraft.
November 15, 2023
This is it! LAST CALL for our LAST COURSE in 2023! Start your New Year by offering your patients th...
Carousel post from geistlich_nflorida.
November 15, 2023
I started my tour of thanking our loyal Geistlich customers a few weeks ago….Thank you Dr Ofilio Mor...
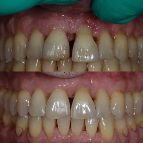
Carousel post from activeperio.
November 15, 2023
Severe #boneloss around the four front #teeth. Patient did not want #dentalimplants so #bonegraft an...
Photo post from cindypenn_geistlich_oc.sd.
November 14, 2023
Great to see Dr Khajavi and her wonderful staff for a luncheon! Looking forward to more collaborati...
Photo post from geistlich_north_america.
November 14, 2023
For our #TransformationTuesday, what better way to announce a brand-new webinar from Dr. Samuel Lync...
Photo post from Geistlich Biomaterials - North America.
November 14, 2023
For our #TransformationTuesday, what better way to announce a brand-new webinar from Dr. Samuel Lync...
Carousel post from geistlich_north_america.
November 13, 2023
That's a wrap on the 2023 American Academy of Periodontology Annual Meeting! Being surrounded by co...
Carousel post from Geistlich Biomaterials - North America.
November 13, 2023
That's a wrap on the 2023 American Academy of Periodontology Annual Meeting! Being surrounded by co...
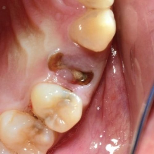
Carousel post from delhiperiodontist.
November 13, 2023
Simple casd of immidiate implant in the 14 region. Root stumps were atraumatically extracted and th...
Carousel post from jdoobrow.
November 13, 2023
Wow, Wow, Wow!! Congratulations AAP President, Dr. David Okano, the entire AAP Leadership and the CE...
Carousel post from dr.robertlevine.
November 13, 2023
AAP 2024: Austin, TX…Closing Lecture…honored to be on the podium with Maurizio Tonetti…anchoring the...
Carousel post from periodrdeliz.
November 12, 2023
Learning and having fun at amer_acad_perio AAP2023 with all the periodontist from Puerto Rico 🇵🇷 wit...